Invisalign in Waterbury
Many people are dissatisfied with the appearance of their smile, sometimes because of crooked teeth or malocclusion. With advances in dental technologies, it is now possible to straighten your teeth discreetly without the use of traditional metal braces and wires.
Benefits of Invisalign
Invisalign has become increasingly popular in recent years for several reasons, including:
- Discrete way to improve your smile without anyone knowing
- Removable aligners - so you can maintain your diet and dental cleaning routine
- Fewer visits to the dentist - dental visits are placed at 6-8 week intervals to assess the progress of the treatment and to receive your next 3-4 sets of aligners
How Invisalign works
The Invisalign system requires you to wear a series of custom-made trays fabricated from smooth, translucent material that is specially made for wear over teeth. Each set of aligners moves your teeth incrementally for a period of two weeks, and is replaced by the next set of trays in the series until the completion of your treatment in 6 to 18 months depending on your case.
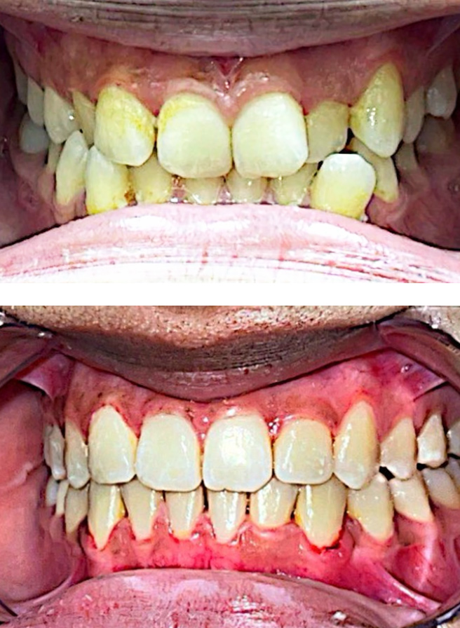
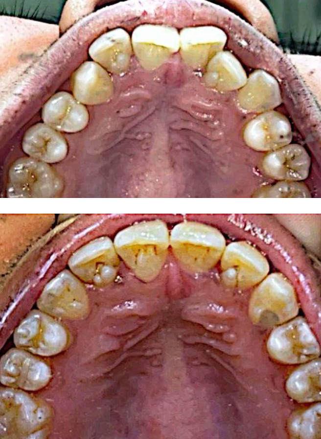
Invisalign Treatment Before / Afters
-
Invisalign Treatment -
Invisalign - Top Teeth -
Invisalign - Bottom Teeth
Invisalign For Teens and Invisalign For Adults in Waterbury
If you’re a suitable candidate for Invisalign, we will take detailed photos of your teeth and mouth, as well as your bite. X-rays may also be used to create a digital roadmap of your custom treatment. The Invisalign software is used to predict how your teeth will be moved over time until they reach the desired position. You can even view the results to expect at any point in the course of the treatment, as well as the final result. Your series of custom aligners will then be fabricated to facilitate the movement of your teeth.
Invisalign Near Me, Waterbury
Invisalign is a cutting-edge approach to straightening your teeth with minimal interference to how you live. The treatment will gradually and gently move your crooked teeth into the right position based on the precise movements that we will discuss with you during your consultation.
Please visit our office in Waterbury for a proper assessment of your case to determine whether you’re a good candidate for Invisalign. Call our office at (203) 753-9503 or schedule an appointment for Invisalign in Waterbury.

